
FAQ
Common Terms & Questions About Hearing Loss
Different Types of Hearing Loss
Conductive Hearing Loss
This happens when sound cannot properly travel through the outer or middle ear.
Common causes include:
- Ear infections
- Fluid in the middle ear
- Wax blockage
- Foreign objects in the ear
- Allergies
- Eardrum damage
Sensorineural Hearing Loss
This occurs when there is damage to the inner ear or the hearing nerve.
Possible causes include:
- Birth conditions
- Loud noise exposure
- Infections
- Genetic factors
- Injury to the ear
Mixed Hearing Loss
Mixed hearing loss is a combination of conductive and sensorineural hearing loss.
This means there is a problem in both:
- The outer / middle ear, and
- The inner ear or nerve
The Anatomy of the Ear
Outer Ear
- Auricle (Pinna) – The visible part of the ear that collects sound
- Ear Canal – A small tube that carries sound to the eardrum
Middle Ear
- Eardrum (Tympanic Membrane) – Vibrates when sound hits it
- Ossicles – Three tiny bones that carry sound vibrations
- Malleus (Hammer)
- Incus (Anvil)
- Stapes (Stirrup)
- Eustachian Tube – Helps balance air pressure in the ear
Inner Ear
- Cochlea – Converts vibrations into signals for the brain
- Vestibule – Helps with balance
- Semicircular Canals – Detect head movement
- Vestibulocochlear Nerve – Sends hearing signals to the brain
What Is a Perforated Eardrum?
It may happen because of:
- Ear infections
- Injury
- Loud sounds
- Pressure changes
Symptoms may include:
- Pain
- Hearing loss
- Ear discharge
- Ringing sound in the ear
What Is Eustachian Tube Dysfunction (ETD)?
Its job is to:
- Balance air pressure
- Drain fluid from the ear
- Protect the ear from infection
When it does not work properly, it can cause:
- Ear pressure
- Pain
- Hearing problems
- Frequent infections



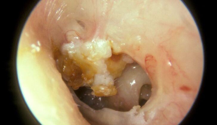
What Is a Cholesteatoma?
A cholesteatoma is an abnormal growth of skin cells in the middle ear.
It is not cancer, but it can be very dangerous if not treated.
What it is
- A cyst-like growth inside the middle ear
- Made of trapped skin cells
- Can slowly destroy surrounding bones
How it develops
- Repeated ear infections
- Perforated eardrum
- Poor ventilation in the middle ear
- Sometimes present from birth
Symptoms
- Bad-smelling discharge from the ear
- Hearing loss
- Ear pain
- Dizziness or balance problems
- Ringing sound in the ear (tinnitus)
- Weakness in facial muscles
Possible Complications
- Damage to hearing bones
- Inner ear infection
- Mastoid infection
- Facial nerve damage
- Brain infection (rare but serious)
Treatment
Treatment usually requires surgery to remove the growth.
Follow-up care may include:
- Hearing tests
- Scans
- Additional treatment if needed
Why Understanding These Terms Matters
Many children suffer hearing loss because symptoms are missed or misunderstood.
When parents understand the signs early, children can get help sooner.
Early diagnosis can:
- Prevent permanent damage
- Improve speech and learning
- Avoid multiple surgeries
- Protect a child’s future
Awareness saves hearing.
Awareness saves lives.
Different Types of Hearing Loss
Conductive Hearing Loss
This happens when sound cannot properly travel through the outer or middle ear.
Common causes include:
- Ear infections
- Fluid in the middle ear
- Wax blockage
- Foreign objects in the ear
- Allergies
- Eardrum damage
Sensorineural Hearing Loss
This occurs when there is damage to the inner ear or the hearing nerve.
Possible causes include:
- Birth conditions
- Loud noise exposure
- Infections
- Genetic factors
- Injury to the ear
Mixed Hearing Loss
Mixed hearing loss is a combination of conductive and sensorineural hearing loss.
This means there is a problem in both:
- The outer / middle ear, and
- The inner ear or nerve
The Anatomy of the Ear
Outer Ear
- Auricle (Pinna) – The visible part of the ear that collects sound
- Ear Canal – A small tube that carries sound to the eardrum
Middle Ear
- Eardrum (Tympanic Membrane) – Vibrates when sound hits it
- Ossicles – Three tiny bones that carry sound vibrations
- Malleus (Hammer)
- Incus (Anvil)
- Stapes (Stirrup)
- Eustachian Tube – Helps balance air pressure in the ear
Inner Ear
- Cochlea – Converts vibrations into signals for the brain
- Vestibule – Helps with balance
- Semicircular Canals – Detect head movement
- Vestibulocochlear Nerve – Sends hearing signals to the brain
What Is a Perforated Eardrum?
It may happen because of:
- Ear infections
- Injury
- Loud sounds
- Pressure changes
Symptoms may include:
- Pain
- Hearing loss
- Ear discharge
- Ringing sound in the ear
What Is Eustachian Tube Dysfunction (ETD)?
Its job is to:
- Balance air pressure
- Drain fluid from the ear
- Protect the ear from infection
When it does not work properly, it can cause:
- Ear pressure
- Pain
- Hearing problems
- Frequent infections
What Is a Cholesteatoma?
A cholesteatoma is an abnormal growth of skin cells in the middle ear.
It is not cancer, but it can be very dangerous if not treated.
What it is
- A cyst-like growth inside the middle ear
- Made of trapped skin cells
- Can slowly destroy surrounding bones
How it develops
- Repeated ear infections
- Perforated eardrum
- Poor ventilation in the middle ear
- Sometimes present from birth
Symptoms
- Bad-smelling discharge from the ear
- Hearing loss
- Ear pain
- Dizziness or balance problems
- Ringing sound in the ear (tinnitus)
- Weakness in facial muscles
Possible Complications
- Damage to hearing bones
- Inner ear infection
- Mastoid infection
- Facial nerve damage
- Brain infection (rare but serious)
Treatment
Treatment usually requires surgery to remove the growth.
Follow-up care may include:
- Hearing tests
- Scans
- Additional treatment if needed
Why Understanding These Terms Matters
Many children suffer hearing loss because symptoms are missed or misunderstood.
When parents understand the signs early, children can get help sooner.
Early diagnosis can:
- Prevent permanent damage
- Improve speech and learning
- Avoid multiple surgeries
- Protect a child’s future
Awareness saves hearing.
Awareness saves lives.